Accessible Version
White Smiles Family Dental

Cosmetic Crowns

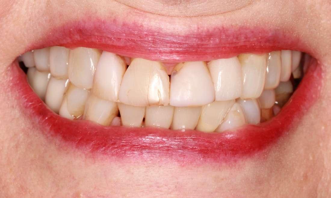
This patient had old composite veneers and restorations on her upper front teeth that did not age well.  Poor margins and translucency.  Replaced with all-ceramic crowns to improve the strength of the teeth, restore the teeth to their original heights and increase the translucency of the upper anterior teeth to maximize her smile.  

patient with poorly aged veneers and restorations patient after getting all Ceramic Crowns done in Springfield, Missouri
Getting an appointment is fast and easy!
If you have difficulty using our website, please email us or call us at (417) 887-6882
View the ADA Accessibility Statement
Privacy Policy